
AffiniPure®兔抗GFP抗体
绿色荧光蛋白(GFP)是一种常用的蛋白标签,可用于构建融合蛋白,并可在原核和真核系统中表达。GFP标签是一种常用且实用的报告分子,因为其荧光产生不依赖外源性底物或辅助因子。GFP的应用十分广泛,可用于基因表达定量、活体内蛋白定位、蛋白相互作用研究,并可作为生物传感器。使用抗GFP抗体能够在许多情况下提升实验性能,并克服仅依赖GFP标签本身可能带来的局限。
Jackson ImmunoResearch AffiniPure®兔抗GFP抗体
针对avGFP及其衍生物的特异性
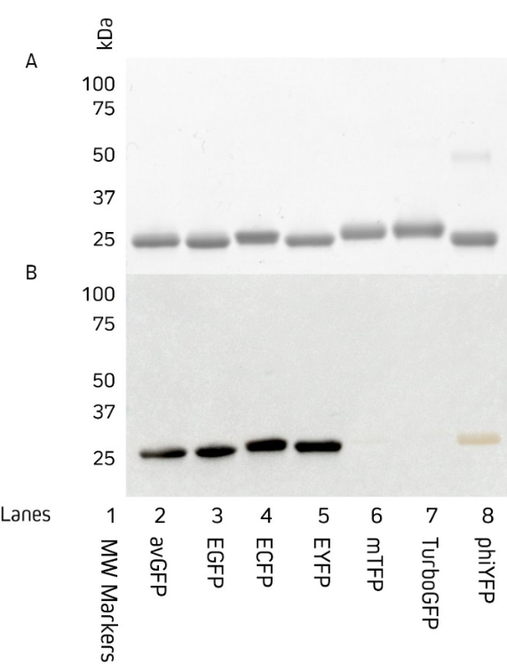
Jackson ImmunoResearch AffiniPure®兔抗GFP抗体为亲和纯化的兔源多克隆抗体,可用于检测Aequorea victoria绿色荧光蛋白(avGFP)及其衍生物,包括EGFP、ECFP和EYFP(图1)。

图1:Western blot检测常见绿色荧光蛋白变体。将3 µg纯化蛋白上样至两块12%丙烯酰胺凝胶中,在还原和变性条件下并行电泳。第一块凝胶经考马斯亮蓝染色 (A),显示蛋白迁移至约27 kDa。第二块凝胶 (B) 用于Western blot实验,经电转印至硝酸纤维素膜,并以1:100,000稀释度的AffiniPure®HRP偶联兔抗GFP抗体(300-035-245)进行检测。
多种应用中对GFP蛋白的灵活检测
AffiniPure® 兔抗GFP抗体可用于在免疫组织化学(IHC)或免疫荧光(IF)实验中放大细胞表达的GFP信号。该兔多克隆抗GFP抗体亦可用于免疫沉淀(IP)、ELISA、免疫细胞化学(ICC)、流式细胞术(Flow cytometry)以及蛋白免疫印迹(Western blot)等多种实验应用。
使用AffiniPure®兔抗GFP抗体进行成像
免疫荧光用偶联物
Jackson ImmunoResearch AffiniPure®兔抗GFP抗体可与多种报告分子偶联。对于荧光成像,Jackson ImmunoResearch兔抗GFP抗体可偶联至Alexa Fluor®染料,能够提供明亮的靶标信号并实现显著的信号放大。
抗GFP抗体偶联物在实验中可增加灵活性,尤其在需要克服自发荧光或仪器限制的情况下(例如某一激光线或检测通道已被其他靶标占用)。通过选择发射于不同通道的荧光团,抗GFP抗体能够绕开这些限制,从而在同一实验中实现多靶标检测。

图2:免疫荧光显微镜观察瞬时转染GFP融合蛋白的HeLa细胞。使用Alexa Fluor®647兔抗GFP抗体检测EGFP标记的微管蛋白。

表1:可选的兔抗GFP偶联物
用于IHC的偶联物
AffiniPure® 兔抗GFP偶联物同样包括常用的报告酶,如辣根过氧化物酶(HRP)和碱性磷酸酶(Alkaline phosphatase),以及可用于显色型IHC染色技术和放大体系(如ABC [亲和素-生物素复合物] 与LSAB [标记链霉亲和素-生物素])的生物素偶联物。通过采用非荧光检测系统,能够使用传统光学显微镜技术,例如显色IHC。

蛋白表达:定性与定量
Western Blot和ELISA(酶联免疫吸附实验)可用于验证并定量分析蛋白表达。GFP作为一种常用的报告分子,在缺乏特异性抗体的情况下,常被用于指示蛋白的成功表达。可参考JIR文章(识别以下二维码),了解如何利用JIR抗GFP抗体对蛋白表达进行定性和定量评估。

流式细胞术检测GFP:案例分析
流式细胞术是一种有效的技术,可用于筛选和定量分析蛋白表达,尤其适用于检测在细胞表面表达的蛋白。GFP标签常作为报告分子,通过流式细胞术追踪蛋白表达。了解Jackson ImmunoResearch抗GFP抗体如何用于通过流式细胞术检测在酵母细胞上表达的GFP融合蛋白。(识别以下二维码)

Jackson ImmunoResearch提供的AffiniPure®兔抗GFP抗体及其偶联物

表2:AffiniPure® 兔抗GFP抗体偶联物


